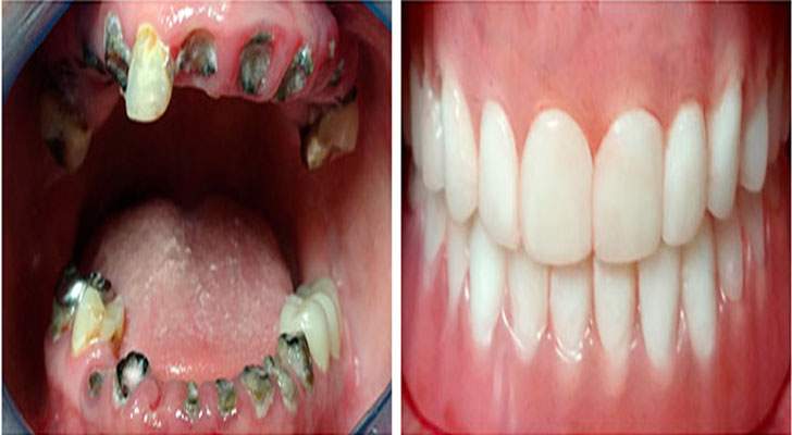
Elite Clinic – Dental implant in delhi. Bridges and crowns are mainly designated as fixed prosthetic devices. There are two types of Prosthetic options, i.e. Fixed & Removable. Crowns & Bridges are the fixed ones which do not need to be removed or cleaned. While the removable devices are dentures which you can take out and clean at your will. Crowns are mainly used for covering a damaged tooth or just covering any implant. Bridges are given for missing teeth. For any kind of prosthetic dental help, our in house Prosthodontist, Dr Abhishek Bansal is always available to guide you.
We also have customized denture options for you which can be fixed or removable. So, catch up with us to know more about the prosthetic help we have and then end up with the best one.

OUR CROWNS, BRIDGES & DENTURES SERVICES INCLUDE

Dental Crown
Dental crowns are made to cover chipped tooth or root canal treated tooth. From Metal Free Crowns to Porcelain Fused to Metal crowns, we offer a plethora of dental crowns for your teeth.

Dental Bridge
It is the fixed replacement of missing teeth, which is held in the correct place by abutment teeth on either sides of gap. Even though bridges can be made from various materials, All Ceramics are the best option to go for.

Dentures
If you are missing teeth in oral cavity, replacing those with removable dentures is a clever & cheaper option. You have to remove the dentures when not in use, especially before heading to bed.

Over Dentures
Over dentures are the snap-on dentures. It is designed to cover and rest on either one or more remaining natural teeth in patients having extensive bone loss. It is placed on roots of natural teeth or dental implants.

Immediate Dentures
In layman’s term, Immediate Dentures are complete or partial dentures, inserted within the same day, just after removing the natural teeth. The cost will vary, depending on the number of dentures.